Stories and news about treatment advances that improve your health and quality of life

Imaging Services

Read about the latest imaging technologies offered at Duke Health and how they can help you and your loved ones lead healthier lives.

Showing 1 - 12 of 12 results
EOS Imaging Reduces Radiation Exposure for Children with Scoliosis
EOS Imaging Reduces Radiation Exposure for Children with Scoliosis

Children with scoliosis require frequent X-rays to check their progress and monitor their growth. Over time, that can mean a lot of exposure to radiation. Fort ...

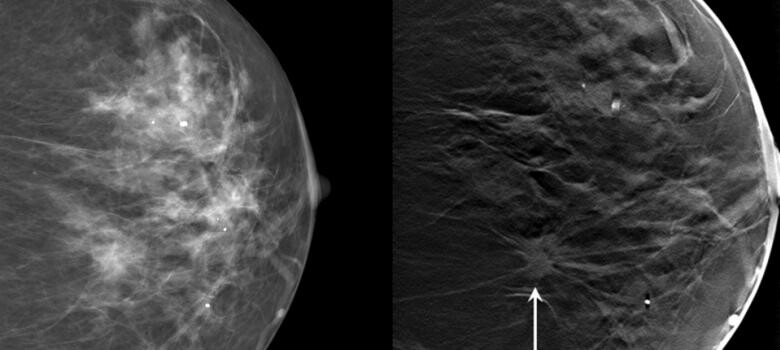
What Is 3D Mammography?
What Is 3D Mammography?

Digital breast tomosynthesis (3D mammography), available at all Duke Health mammography locations, is a new diagnostic tool for breast cancer detection. Jay Ba ...

Standing CT Scans Improve Diagnosis and Treatment of Lower-Extremity Injuries
Standing CT Scans Improve Diagnosis and Treatment of Lower-Extremity Injuries

Duke Health is one of a few centers in North Carolina to offer a more accurate way to diagnose foot, ankle, knee, and hip problems with less radiation than tra ...

Six Questions to Ask About Mammograms
Six Questions to Ask About Mammograms

Conflicting mammogram guidelines may leave many people unsure about when and how often to be screened for breast cancer. Here Jay Baker, MD, a breast imaging s ...

Fast Breast MRI Available to Women with Average Breast Cancer Risk
Fast Breast MRI Available to Women with Average Breast Cancer Risk

Duke Health now offers fast breast MRI -- also known as abbreviated breast MRI -- to detect breast cancer in people assigned female at birth who are at average ...

Seeing Spots on Your Mammogram
Seeing Spots on Your Mammogram

Not all people assigned female at birth have calcifications in their breasts—but most do. These deposits show up as tiny white spots on a mammogram, and there ...

Lead-Based Shields No Longer Recommended for Routine X-Rays
Lead-Based Shields No Longer Recommended for Routine X-Rays

Medical experts now know that shielding patients’ reproductive organs during routine imaging exams is not only unnecessary, it can actually increase the risk f ...

New Guidance for Scheduling Your Screening Mammogram and COVID-19 Vaccine or Booster
New Guidance for Scheduling Your Screening Mammogram and COVID-19 Vaccine or Booster

If you need to schedule a screening mammogram and your COVID-19 vaccine or booster, don’t delay. The Society of Breast Imaging says the four- to six-week waiti ...

Should You Be Screened for Lung Cancer?
Should You Be Screened for Lung Cancer?

Lung cancer screening with low-dose CT is covered by Medicare and private insurers for people who smoke or have smoked in the past. There’s a reason. Lung canc ...

Duke Cancer Center Offers New Treatment for Metastatic Prostate Cancer
Duke Cancer Center Offers New Treatment for Metastatic Prostate Cancer

Men with advanced metastatic prostate cancer that has not responded to other treatments may now benefit from a new radiopharmaceutical treatment called PLUVICT ...

PSMA PET/CT Scan Improves Prostate Cancer Detection and Treatment
PSMA PET/CT Scan Improves Prostate Cancer Detection and Treatment

A new imaging technique is changing the way aggressive prostate cancer is identified and is making it easier for doctors to design more effective, individualiz ...

Photon-Counting CT Scanner Helps Doctors See Clearly
Photon-Counting CT Scanner Helps Doctors See Clearly

A next-generation CT scanner at Duke Health provides patients with a life-saving technology not available in the past. One of only four available in North Amer ...